L’arthrose chez le chien et le chat
L’ARTHROSE CHEZ LE CHIEN ET LE CHAT
Votre chien a du mal à sortir de son panier le matin ? Votre matou ne peut plus sauter sur les meubles ? Peut-être souffrent-ils d’arthrose. L’arthrose est une affection des articulations. Elle correspond à une “usure” des cartilages avec des modifications et des irrégularités des os sous-jacents.
- Les causes d’arthrose
L’arthrose peut être primitive (elle apparaît classiquement avec l’âge sans qu’une cause précise ne puisse être nettement identifiée) ou secondaire. Elle est alors la conséquence de traumatismes ou maladies que l’animal a pu subir au niveau des articulations : des malformations osseuses génétiques (dysplasie de la hanche ou du coude, par exemple), des lésions du cartilage, des déchirures des ligaments, des maladies des os, un surpoids ou une activité physique abusive et non appropriée à la condition physique de l’animal, sont des facteurs qui vont induire des contraintes sur les cartilages et une inflammation de l’articulation. Les cartilages s’abîment, les os sous-jacents prolifèrent : l’arthrose s’installe.
- Comment détecter l’arthrose ?
Tout comme nous, les animaux peuvent souffrir ! Mais ils n’expriment pas la douleur de la même façon. Aussi, l’arthrose n’est pas forcément évidente à détecter pour celui qui vit avec son chien tous les jours. En effet, en-dehors des périodes de crise de douleur, les signes chroniques peuvent passer inaperçus.
Dans un premier temps, l’animal présente des difficultés à se lever après une période de repos ou après un effort important. C’est flagrant le plus souvent le matin au lever. Au fur et à mesure de l’évolution du processus, la douleur, pouvant se traduire par une boiterie, est de plus en plus fréquente, puis permanente.
Ces étapes sont ponctuées de crises très invalidantes durant lesquelles l’animal peut présenter une douleur intense, au point de ne plus pouvoir se déplacer. Ces crises sont imprévisibles, et contribuent à dégrader un peu plus les articulations.
On peut estimer le niveau de douleur ressenti par l’animal à l’aide de différents critères :
-Il a du mal à se lever
-Il boite
-Il a moins d’entrain durant les promenades
-Il a du mal à monter ou descendre les escaliers, ou à monter sur les meubles
-Il vous fait moins la fête quand vous rentrez
-Il reste couché plus longtemps qu’avant
-Il grogne ou crache quand on le caresse
-Il a des raideurs après un effort

Si votre animal répond à au moins 2 de ces critères, il faut trouver des moyens de le soulager, une consultation chez votre vétérinaire s’impose afin d’asseoir le diagnostic.
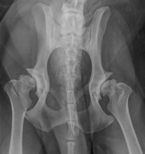
Le diagnostic est souvent clinique, mais la radiographie permet de confirmer et d’estimer l’importance des lésions.
- Comment soulager votre animal ?
L’arthrose ne se guérit pas. Mais une bonne prise en charge permet de soulager votre animal, et de retarder l’évolution des lésions articulaires.
1/ Les chondroprotecteurs (sous forme de comprimés, ou intégrés dans l’aliment)
Ils ont pour but de soutenir la fonction articulaire, et de lutter contre l’oxydation cellulaire. Ils sont utilisés sous forme de cures à renouveler plusieurs fois par an, ou intégrés directement à l’aliment pour un apport quotidien. Leur emploi régulier permet de limiter l’utilisation d’anti-inflammatoires.
Une alimentation adaptée au chien arthrosique est un bon moyen de lui administrer des protecteurs de cartilage sans avoir besoin de lui faire avaler des comprimés tous les jours. Notre équipe pourra vous prescrire une gamme d’aliment adaptée à votre compagnon.
2/ Les traitements anti-inflammatoires
Ils ont plusieurs effets :
-soulager la douleur
-aider le chien à retrouver sa mobilité
-limiter les phénomènes d’inflammation articulaire qui entretiennent et augmentent les lésions.
Les médicaments les plus utilisés sont les anti-inflammatoires non stéroïdiens (ou AINS). Ils seront prescrits dans la phase aigüe de la crise arthrosique, puis en fonction des besoins de chaque animal. Les molécules utilisées aujourd’hui ont une bonne innocuité, même à long terme, mais on préconise de faire un bilan sanguin afin de vérifier le bon fonctionnement des reins, du foie,…
Ces traitements soulagent l’animal immédiatement, mais pour inscrire une amélioration dans la durée, il est indispensable de prendre parallèlement des mesures hygiéniques:
3/ Le contrôle du poids
Le surpoids est un facteur aggravant, car il engendre des contraintes mécaniques supplémentaires sur les articulations. Le maintien du poids idéal, ou le retour à un poids inférieur par le biais d’un régime spécifique, est indispensable si l’on veut éviter la dégradation accélérée des cartilages. Cela permet dans la majorité des cas de pouvoir diminuer l’utilisation d’anti-inflammatoires.
Notre équipe se tient à votre disposition pour vous aider à faire perdre du poids à votre animal et pour répondre à vos questions.
4/ L’activité physique
Le maintien d’une activité physique modérée mais régulière est primordial. L’absence d’exercice, ou au contraire un excès d’activité, sont nuisibles pour le chien et favorisent le développement de l’arthrose. Il est recommandé de faire de courtes promenades plusieurs fois par jour, plutôt qu’une longue balade, et de préférence sur terrain plat, afin de ne pas trop solliciter les articulations pour monter (arrière-train) ou descendre (membre antérieur). Il faut éviter les exercices violents comme le saut. En revanche, la natation est excellente car elle favorise la mobilité des articulations en douceur, et sans la contrainte du poids.
5/ Chirurgie
Dans certains cas (exemple : arthrose de l’articulation coxo-fémorale sur un chien dysplasique), les traitements médicaux ne suffisent pas, et une chirurgie peut être envisageable pour soulager le chien. Ces cas restent cependant rares car le plus souvent l’arthrose ne touche pas qu’un seul endroit.
A SAVOIR: L’arthrose et la génétique.
Certaines malformations articulaires à l’origine d’arthrose sont génétiques: les animaux souffrant de ces malformations ne doivent pas être mis à la reproduction.
La plus connue de ces malformations est la “dysplasie de la hanche” et il est reconnu que cette malformation a une forte composante héréditaire.
Un dépistage est donc préconisé, grâce à des radiographies qui peuvent se faire vers l’âge d’un an en moyenne (l’âge de dépistage dépend de la race, il convient de se renseigner auprès du club de race concerné).
Ces radiographies ont un double intérêt : elles permettent non seulement d’éliminer de la reproduction les animaux atteints, mais également de prendre, si l’animal est diagnostiqué dysplasique, les mesures nécessaires pour prévenir l’apparition rapide d’arthrose.








